その歯並びやお悩み、
横山歯科医院で解決できます
横山歯科医院が
選ばれているのには
理由があるんです
最新のデジタル機器で、快適かつ精度の高いマウスピース矯正を実現
歯科用CTや口腔内スキャナーを使用した立体的な診断で、歯や骨格の状態を正確に把握。見た目の美しさはもちろん、噛み合わせや顎のバランスも含めた“機能性”を重視した治療プランを一人ひとりに合わせてご提案します。無理なく継続できる矯正を心がけています。
理由01
経験豊富な医師による安心の矯正治療
横山歯科医院では、これまで多数の矯正・補綴・噛み合わせ治療を手がけてきた院長が、カウンセリングから治療完了まで一貫して担当します。歯並びだけでなく、顎の動きや骨格のバランスなど、長期的な視点で患者さま一人ひとりに最適な治療方針を立案。初めての矯正治療でも、不安なく前向きに進めていただけるよう、専門知識と豊富な経験でしっかりサポートします。
理由02
総合歯科ならではのトータルサポート
矯正治療中は、虫歯や歯周病のリスクも高まります。当院では、一般歯科・歯周治療・審美治療・インプラントなど、幅広い診療に対応しており、矯正中・矯正後もお口全体の健康を維持できる体制を整えています。噛み合わせや将来的なトラブルまで見据えた、トータルな治療が可能です。
理由03
幅広いニーズに
お応えします
矯正治療では歯並びや口元の印象を整えることができますが、歯の形や色味など、細かな美しさまで理想を叶えるには限界があります。
そこで当院では、矯正に加えて審美治療を組み合わせることで、より調和のとれた美しい口元へ導く「総合的な審美アプローチ」を行っています。患者さま一人ひとりのご要望を丁寧に伺い、自然で美しい笑顔の実現を目指した治療計画をご提案しています。
お気軽にご相談ください!
無料カウンセリング実施中!
当院では、矯正治療をご検討中の方に向けて
無料カウンセリングを行っております。
歯並びのお悩みや、マウスピース矯正に関する
ご質問など、どんなことでもお気軽に
ご相談ください。
無理に治療をすすめることはありません。
患者さまがご納得いただいたうえで、
安心して治療を始めていただけることを
大切にしています。
まずは「相談だけ」でも大歓迎です。
お気軽にご利用ください。
What is SureSmile
シュアスマイル
(SureSmile)を
ご存じですか?
当院では、世界的に有名な歯科医療用製品のメーカー・デンツプライシロナ社が提供しているマウスピース型矯正装置「シュアスマイル(SureSmile)」を使用しています。 シュアスマイルは、「エシックス(Essix)」という特殊なプラスチック素材を用いており、様々な症例に対して効率的に歯並びの改善ができます。 また、当院では歯科用CTを用いて高精度の3Dデジタルデータで歯並びを記録。一人ひとりの歯並びに応じて最適化されたオリジナルのマウスピースを製作いたします。
シュアスマイルの
メリット
- シミュレーションで
矯正後の歯並びが確認できる - ご自身の歯並びが「マウスピース型矯正」で治療できるものか、当院での診断が必要になります。治療についての説明を受けていただき、⾍⻭や⻭周病の方は、先にそれらの治療を受けることをおすすめする場合があります。
Merit 01
- 矯正後の歯並びをコントロールできる
- 従来の矯正治療ではレントゲンを見ながら歯の動きを確認をしており、1本ずつ歯の動く向きや方向を細かくコントロールするのは難しいことでした。シュアスマイルであれば、歯科用CTで歯の大きさや形などを正確に記録した上でシミュレーションできるので、矯正後の歯並びも美しい仕上がりとなるようにコントロールすることが可能です。
Merit 02
- 矯正中も普段通りに
会話しやすく口内が傷付きにくい - シュアスマイルは透明で薄く、軽いプラスチック素材であるため、マウスピースを装着したままでも普段通りに会話がしやすいです。 また、ワイヤー矯正では口の中が傷付くリスクがありますが、シェアスマイルではほとんどその心配はありません。
Merit 03
- 抜歯せずに矯正できる可能性が高い
- シュアスマイルは少しずつ歯を動かすため、抜歯をせずに矯正を進められる可能性が高いです。他院で抜歯を要すると診断された方は、ぜひ当院に相談をしてみてください。
Merit 04
シュアスマイルと
インビザラインの違い
マウスピース型矯正で有名なものに「インビザライン」があります。
これはアメリカのアライン・テクノロジー社が提供するマウスピース型矯正装置の名称で、矯正方法はシュアスマイルとほとんど違いはありません。
日本では2021年6月にシュアスマイルは発売されており、知名度はインビザラインの方が上です。しかしシェアスマイルは海外で20年以上使用されてきた実績があり、世界的にシェアが拡大しています。
また、シェアスマイルは後発製品ではあるものの、より詳細なシミュレーションができたり、コストを抑えられたりできるといったメリットがあります。
知名度ではまだまだインビザラインには劣るものの、
品質面では全く問題ないのでご安心ください。
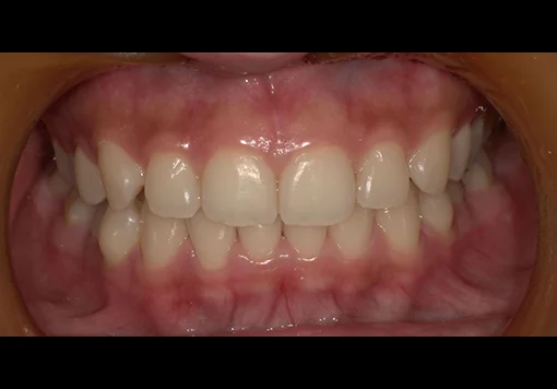
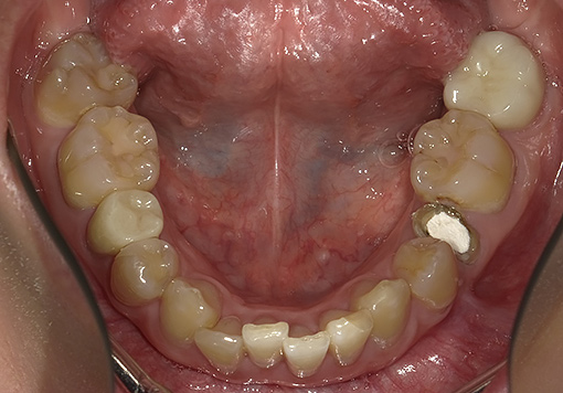
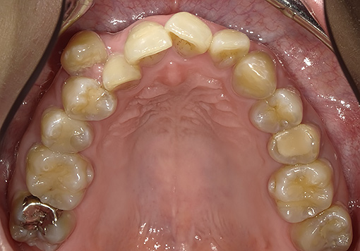
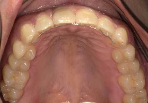
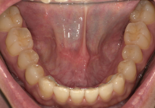
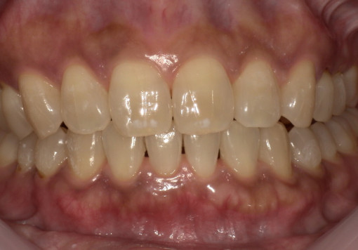
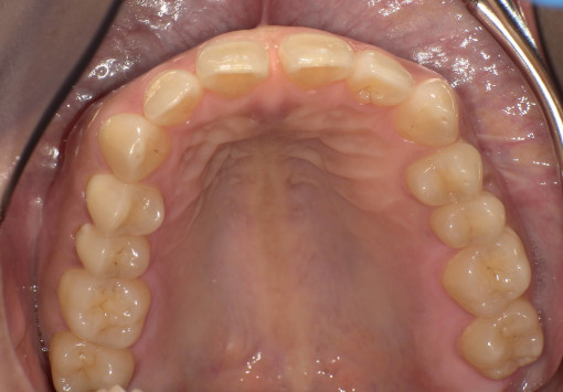
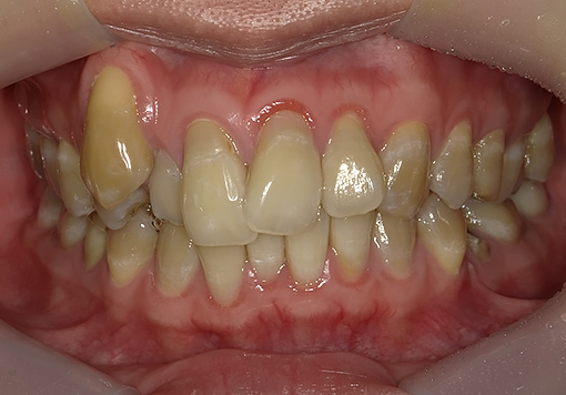
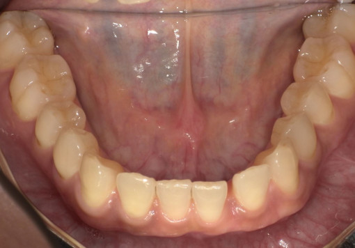
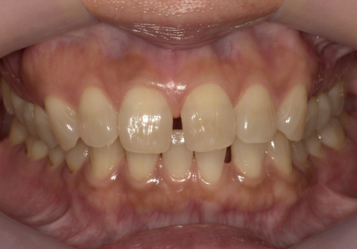
症例紹介
Case 01
before
after
before
after
- 主訴:歯並びが気になる
- 治療内容:下顎のみマウスピース矯正
- 治療期間:1年間6ヶ月
- 診断結果:歯列不正
- 治療後経過:経過良好
- 治療費用:40万円
リスク・副作用:歯肉退縮、歯の動揺、歯根吸収
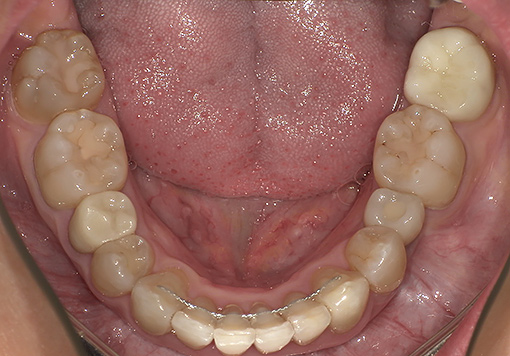
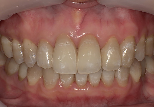
Case 02
before
after
before
after
- 主訴:悪いところは治したい
- 治療内容:インプラント、審美補綴、
マウスピース矯正 - 治療期間:40万円
- 診断結果:歯の欠損、歯列不正
- 治療後経過:経過良好
- 治療費用:160万円
リスク・副作用:治療期間が長い、外科的侵襲がある
Case 03
before
after
before
after
before
after
Case 04
before
after
before
after
before
after
- 主訴:前歯のガタつき・上下の歯並びの不均一を改善したい。
根管治療途中の歯を治したい - 治療内容:マウスピース型矯正装置(SureSmile)による全顎矯正。
下顎1本インプラント埋入 - 治療期間:約36ヶ月
- 診断結果:
・上下顎に叢生を認め、特に上顎前歯部の位置不良が強い状態。
・噛み合わせのズレがあり、審美性・機能性の改善が必要と判断。
・抜歯を伴わないマウスピース矯正での改善が可能と診断。
歯根破折 - 治療後経過:
・前歯部の配列が整い、正中・噛み合わせが改善。経過も良好。 - 治療費用:マウスピース矯正(SureSmile):88万円税込
インプラント45万円税込
※症例により費用は前後します。
リスク・副作用:
・歯の動きに伴う痛み・違和感が数日出ることがあります。
・装着時間が不十分な場合、計画通りに歯が動かないことがあります。
・矯正後に保定装置を適切に使用しないと後戻りの可能性があります。
・虫歯・歯周病がある場合、先に治療が必要となる場合があります。
Case 05
before
after
- 治療費用:45万円
- 治療期間:6ヶ月
リスク・副作用:
・歯の動きに伴う痛み・違和感が数日出ることがあります。
・装着時間が不十分な場合、計画通りに歯が動かないことがあります。
・矯正後に保定装置を適切に使用しないと後戻りの可能性があります。
・虫歯・歯周病がある場合、先に治療が必要となる場合があります。
お気軽にご相談ください!
無料カウンセリング実施中!
当院では、矯正治療をご検討中の方に向けて
無料カウンセリングを行っております。
歯並びのお悩みや、マウスピース矯正に関する
ご質問など、どんなことでもお気軽に
ご相談ください。
無理に治療をすすめることはありません。
患者さまがご納得いただいたうえで、
安心して治療を始めていただけることを
大切にしています。
まずは「相談だけ」でも大歓迎です。
お気軽にご利用ください。
Flow
治療の進め方
01
- カウンセリング
- ご自身の歯並びが「マウスピース型矯正」で治療できるものか、当院での診断が必要になります。治療についての説明を受けていただき、⾍⻭や⻭周病の方は、先にそれらの治療を受けることをおすすめする場合があります。
02
- 精密検査
- マウスピース型矯正で治療することが決まったら、精密検査を行います。治療開始前の顔の⾻格や⻭並びの状態を記録し、横・正⾯など複数の⾓度から顔やお口の中の写真を撮影します。また、当院では歯科用CTを完備しているため、歯並びを3次元で記録することができます。
03
- シミュレーション
- 最新のデジタル機器「IOS」で口腔内をスキャンし、3Dデータとして表示。
そのデータをもとに、サンプル3Dデジタルシミュレーションを用いて、治療期間や治療計画についてわかりやすくご説明いたします。
04
- 治療開始
- 実際にマウスピースの作製を行い、着脱やお⼿⼊れの方法などを説明して、治療スタートとなります。
05
- 精密検査
- 歯は、元の位置に戻ろうとする力があります。そのため、矯正治療後はリテーナーと呼ばれる後戻り防止装置を2年程度着用していただきます。
Cost
費用について
お気軽にご相談ください!
無料カウンセリング実施中!
当院では、矯正治療をご検討中の方に向けて
無料カウンセリングを行っております。
歯並びのお悩みや、マウスピース矯正に関する
ご質問など、どんなことでもお気軽に
ご相談ください。
無理に治療をすすめることはありません。
患者さまがご納得いただいたうえで、
安心して治療を始めていただけることを
大切にしています。
まずは「相談だけ」でも大歓迎です。
お気軽にご利用ください。


