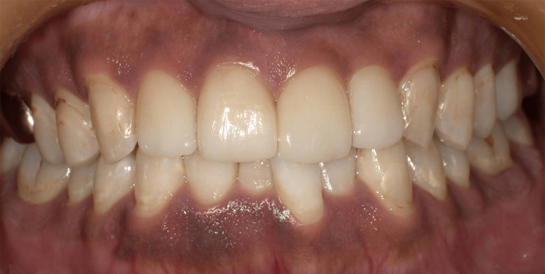
ラミネートべニア 症例画像
| 主訴 | 前歯をキレイにしたい |
|---|---|
| 診断結果 | 不良補綴物 |
| 治療内容 | ラミネートベニヤ |
| 治療後経過 | 経過良好 |
| 治療期間 | 約1週間 |
| 治療費用 | 40万円 |
| リスク・副作用 | 歯がしみる可能性がある |
| 主訴 | 前歯が欠けた |
|---|---|
| 診断結果 | 不良補綴物 |
| 治療内容 | ラミネートベニヤ |
| 治療後経過 | 経過良好 |
| 治療期間 | 約1週間 |
| 治療費用 | 20万円 |
| リスク・副作用 | 歯がしみる可能性がある |
| 主訴 | 上の前歯の色が気になる |
|---|---|
| 診断結果 | 充填物不良 |
| 治療内容 | 審美補綴 |
| 治療後経過 | 経過良好 |
| 治療期間 | 約2週間 |
| 治療費用 | 32万円 |
| リスク・副作用 | 歯を削る |
| 主訴 | 前歯をキレイにしたい |
|---|---|
| 診断結果 | 不良補綴物 |
| 治療内容 | ラミネートベニヤ |
| 治療後経過 | 経過良好 |
| 治療期間 | 約1週間 |
| 治療費用 | 40万円 |
| リスク・副作用 | 歯がしみる可能性がある |
ラミネートべニアとは

ラミネートベニアとは、歯の表面にあるエナメル質を薄く削った後、患者様の歯の形状に合わせた薄いセラミックを貼り付ける治療法です
歯と歯の隙間を埋めたり、高さや幅を調節したりと、歯並びを改善する際に選択されます。
また、ホワイトニングで白斑が生じてしまい、一部だけ歯の色を改善できなかった場合も、ラミネートベニアで歯の色を統一することが可能です。
表面に貼り付けるチップは、天然の歯に近い色合いのセラミックを使用しているため、違和感なくナチュラルに仕上がります。
歯を削る際は、0.3〜0.5mm程とごくわずかに表面削るため、歯への負担は最小限に抑えられ、痛みがほとんど起こりにくいといった特徴があります。
ラミネートべニアはこんなお悩みの方におすすめです
- 歯の色が1本だけ違う
- すきっ歯を改善したい
- 歯並びを改善し美しい歯にしたい
- 歯の形を統一して見た目を整えたい
- ホワイトニングで白斑ができてしまった
ラミネートベニアのメリット
治療の際に痛みを伴わない
ラミネートベニアの治療中は、ほとんど痛みを伴いません。歯の痛みはエナメル質の下にある象牙質に外部刺激が加わり、神経に伝わることで痛みを引き起こしています。
ラミネートベニアは、歯の表面にあるエナメル質のみをわずかに削るだけなので、痛みを感じる心配もなく、局所麻酔も必要ありません。
一度施術をすれば10年以上は持つ
ラミネートベニアに使用するセラミックは、天然歯に近い強度や耐久性を持ちます。
チップが薄いため、耐久性に不安を持つ方もいらっしゃいますが、一般的に10〜20年は変色・変形せずに形状を維持します。
すきっ歯や表面の凸凹を解消できる
ラミネートベニアはチップのサイズを調節できるため、すきっ歯の解消ができます。
加工する際に少し大きいサイズで作り、隙間を埋めるように装着することで、綺麗な歯を再現できます。また、歯の表面に凸凹がある場合でも装着可能です。
歯を動かさずに矯正したような美しさが手に入れられる
長期間の歯科矯正で歯を動かしていかなくても、ラミネートベニアで歯の形を整えられます。
注意点として、歯が重なっていたり、歯が前方に突出している場合は、装着が難しいこともあります。
軽度の歯並びで歯の重なりがない場合は、問題なく装着できますので、対応可能かどうかお悩みの方はお気軽にご相談ください。
ラミネートべニアのデメリット
定期的なメンテナンスが必須
ラミネートベニアを装着した後は、長持ちさせるためにも定期的なメンテナンスが必要です。
装着しているチップ自体は、セラミックで加工されているため長期的に使用できますが、使用している接着剤に劣化が出る場合もあるためです。
装着後3年が経過した後は、定期的に歯科医院へ来ていただき、状態に問題がないか確認します。
自由診療のため費用がかかる
ラミネートベニアは自由診療のため保険適用外となります。そのため、すべての歯を綺麗にしたいと思うと、費用がかさんでしまうデメリットもあります。
1本あたりの平均は7~16万円程となっており、決して安い金額とはいえません。
費用の関係でお悩みの場合、ラミネートベニアを併用して他の治療も提案可能ですので、お気軽にご相談ください。
根本的な歯並びの改善にはならない
ラミネートベニアは歯の表側を整える治療のため、根本的な歯並びの改善は難しいです。
すきっ歯の場合は、空いた隙間を埋めるようにチップのサイズを調整すれば問題ないですが、八重歯や出っ歯などは改善できません。
歯の状況によっては、ラミネートベニアを装着することでボリューム感が増し、口が閉まりにくくなってしまうデメリットもあります。
ラミネートべニアの流れ
STEP1|初診検査
初診時には、歯周病や嚙み合わせチェック、レントゲン撮影などを行い、患者様の歯や口腔内の状況を確認いたします。
STEP2|カウンセリング
ラミネートベニアが適正な治療か判断するため、検査結果を元に治療方針を決めていきます。
この際、他にお悩みがあればお気軽にご相談下さい。
(もしラミネートべニアが出来ない状態の場合は、適時他の治療法をご提案する場合がございます。)
STEP3|歯の表面を削る
セラミックのチップを取り付ける前に、歯の表面を0.3〜0.5mm程削ります。
痛みがご心配な方は、麻酔も使用できますので、お気軽にお申しつけください。
STEP4|歯型を取る・チップ作成
歯を削った後は、歯型を取ります。取らせていただいた歯型を元にチップを作成していくので、1〜2週間程お時間をいただく場合がございます。
チップが完成するまで、削った後の歯は詰め物をしていただくため、歯の表面が気になるようなことはございません。
STEP5|チップ装着・完成
チップ完成後、再来院いただき、色や形状に問題がないか確認していただきます。
問題がなければ接着剤を付けたチップを装着し、光を当てて固めていきます。最後に余分な箇所を削って整えれば完成です。
STEP6|装着後~メンテナンス
ラミネートベニア装着後、定期的にメンテナンスに来ていただきます。
1年に1回か最低でも装着から3年後に1回は来院していただき、状態を確認していきます。
ラミネートべニアのよくある質問
-
セラミッククラウンとの違いは?
ラミネートベニアは、薄く加工したセラミックを歯の表面に装着する治療法で、クラウンは歯の全体を覆うようにセラミックを被せていく治療法です。どちらも歯の形状や色を改善する治療ですが、大きな違いは「歯を削る量」「適応する歯の種類」「神経処理の有無」になります。
ラミネートベニアは歯の表面(エナメル質)を薄く削って装着するため、歯への負担は最低限に抑えられます。出っ歯や重なった歯の装着は難しいため、適応している歯の種類が限られているので注意が必要です。
一方、セラミッククラウンは強度を増すために、歯を大きく削って被せ物を装着しますので、必要に応じて神経処理を行う場合があります。歯を削る量が多いため、歯の形状を大きく修正できる特徴があります。 -
装着するチップの色は選べますか?
はい、可能です。ラミネートベニアの色は、違和感なくご希望の白さに近づけるよう、カラーチャートを用いて患者様と相談しながら作成を進めていきます。
-
被せ物があっても装着できますか?
ラミネートベニアは、被せ物や詰め物があっても装着可能です。
-
装着後チップが変色する可能性はありますか?
ラミネートベニア自体、変色のしにくいセラミックを使用しているため、基本的に素材は10〜20年ほど変色(劣化)しません。
しかし、喫煙習慣や着色料の多い食品を取る機会が多いと、着色しやすい傾向があるので、普段の生活に注意が必要です。 -
適応する歯にはどのようなものがありますか?
ラミネートベニアで治療できる歯には、下記のようなものがあります。
・小さい歯
・すきっ歯
・小さく欠けた歯
・歯の表面に凸凹がある場合
・軽度の歯並び(重なりがなく前方に突出していない)
・歯の表面に凸凹がある場合
上記以外にも、歯の状態によっては装着が可能な場合もあるため、適応性でお悩みの方はお気軽にご相談ください。
料金について
ラミネートベニア 1歯・・・90,000円(+税)