
- 入れ歯が合わず、
痛みや違和感がある

- 食べ物をしっかり噛めず、
食事が楽しめない

- できるだけ長く
しっかり噛める治療法を
探している

- 見た目が気になる

- 他院で
「骨が少ないので無理」と
言われた
当院のインプラント治療の
特徴
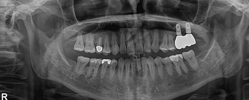
口腔内スキャナー
「プライムスキャン」×歯科用CTの連携
特徴01
デジタル×精密
安心・安全なインプラント
治療を実現
当院では、世界的歯科機器メーカー「デンツプライシロナ社」が開発した口腔内スキャナー『プライムスキャン(PrimeScan)』を導入しています。従来の印象材を使用しない“デジタル印象”により、精度・快適性・スピードすべてにおいて次世代のインプラント治療を提供しています。
CT×IOSでインプラントを入れる位置・深さ・角度まで立体的に設計し、ズレの少ない安全な治療計画が可能になります。
特徴02
切らない・縫わない・
怖くない治療
当院では患者様のお身体のご負担を限りなく減らすため、切らない縫わないインプラント治療を行っております。 一人ひとりのお口の状態やご希望に合わせたオーダーメイドの治療が可能です。
また、手術に対して不安や緊張が強い方には「静脈内鎮静法(点滴によるリラックス麻酔)」にも対応しており、眠っているような感覚で安心して治療を受けていただけます。
特徴03
骨が少ない方でも
対応できる骨造成技術
サイナスリフト・GBRなどの技術により、骨量不足の方や難症例にも対応可能です。他院で治療を断られた方も、 まずはご相談ください。
特徴04
抜歯即時インプラントも対応!
抜歯と同時にインプラント埋入を行い、その日のうちに見た目も自然な仮歯を装着することが可能です。治療期間中でも笑顔に自信を持ち、日常生活を快適に過ごせます。
特徴05
自然で美しい見た目を叶える治療
インプラント周囲の歯ぐき(歯肉)にもこだわり、自然で調和の取れた仕上がりを追求。審美的な美しさを大切にした治療を行っています。




















